Connect With Us

Teenagers often develop foot blisters due to friction, which can be the result of wearing new or ill-fitting shoes, engaging in high-intensity activities, or having sweaty feet. The best way to manage these blisters is to keep them clean with gentle soap and water and to protect them with a sterile bandage or specialized blister plaster that can cushion the area and soak up excess moisture. It is crucial not to pop blisters, as the skin covering them acts as a protective barrier against infection. Should a blister break on its own, the area should be cleaned, an antibiotic ointment applied, and then re-covered with a clean bandage. Ensuring footwear fits correctly and socks are moisture-wicking will help prevent further irritation. In cases where blisters are particularly painful, keep reoccurring, or show signs of infection, it is suggested that you make an appointment with a podiatrist who can provide additional treatment and prevention strategies.
Blisters are prone to making everyday activities extremely uncomfortable. If your feet are hurting, contact David Mehl, DPM of New York. Our doctor can provide the care you need to keep you pain-free and on your feet.
Foot Blisters
Foot blisters develop as a result of constantly wearing tight or ill-fitting footwear. This happens due to the constant rubbing from the shoe, which can often lead to pain.
What Are Foot Blisters?
A foot blister is a small fluid-filled pocket that forms on the upper-most layer of the skin. Blisters are filled with clear fluid and can lead to blood drainage or pus if the area becomes infected.
How Do Blisters Form?
Blisters on the feet are often the result of constant friction of skin and material, usually by shoe rubbing. Walking in sandals, boots, or shoes that don’t fit properly for long periods of time can result in a blister. Having consistent foot moisture and humidity can easily lead to blister formation.
Prevention & Treatment
It is important to properly care for the affected area in order to prevent infection and ease the pain. Do not lance the blister and use a Band-Aid to provide pain relief. Also, be sure to keep your feet dry and wear proper fitting shoes. If you see blood or pus in a blister, seek assistance from a podiatrist.
If you have any questions, please feel free to contact our offices located in Forest Hills, and Brooklyn, NY . We offer the newest diagnostic and treatment technologies for all your foot care needs.

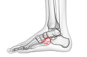
Cuboid fractures are rare and occur when the cuboid bone in the foot becomes broken. The cuboid bone is one of the smallest bones in the foot, and when it breaks, it can cause pain and trouble walking. Cuboid syndrome is a condition that is related to the cuboid bone. It happens when the cuboid bone does not move or function properly. This can cause pain on the outer part of your foot and make it hard to walk. Sometimes, cuboid syndrome can occur after a cuboid fracture because the bone may not heal correctly, or may still be out of place. If you have foot pain on the outer side of the foot, it is suggested that you schedule an appointment with a podiatrist to obtain a proper diagnosis and treatment that will help you return to normal activity as quickly as possible.
Cuboid syndrome, also known as cuboid subluxation, occurs when the joints and ligaments near the cuboid bone in the foot become torn. If you have cuboid syndrome, consult with David Mehl, DPM from New York. Our doctor will assess your condition and provide you with quality foot and ankle treatment.
Cuboid syndrome is a common cause of lateral foot pain, which is pain on the outside of the foot. The condition may happen suddenly due to an ankle sprain, or it may develop slowly overtime from repetitive tension through the bone and surrounding structures.
Causes
The most common causes of cuboid syndrome include:
Symptoms
A common symptom of cuboid syndrome is pain along the outside of the foot which can be felt in the ankle and toes. This pain may create walking difficulties and may cause those with the condition to walk with a limp.
Diagnosis
Diagnosis of cuboid syndrome is often difficult, and it is often misdiagnosed. X-rays, MRIs and CT scans often fail to properly show the cuboid subluxation. Although there isn’t a specific test used to diagnose cuboid syndrome, your podiatrist will usually check if pain is felt while pressing firmly on the cuboid bone of your foot.
Treatment
Just as the range of causes varies widely, so do treatments. Some more common treatments are ice therapy, rest, exercise, taping, and orthotics.
If you have any questions, please feel free to contact our offices located in Forest Hills, and Brooklyn, NY . We offer the newest diagnostic and treatment technologies for all your foot care needs.

Sesamoid bones are tiny bones that are found near joints within muscles or tendons. They act like pulleys to reduce stress on these muscle-tendon areas. Unlike regular bones that connect at joints, sesamoid bones connect to muscles using tendons. The word sesamoid comes from the Arabic word sesamum, which means sesame, because they are small like sesame seeds. These bones are often in the foot, hand, and wrist. Sesamoid bones usually develop due to extra strain on muscles and tendons. Their main job is to ease tension in muscles and tendons, making them better at carrying weight and more resilient by distributing it evenly. This helps protect these various parts of the body from getting too strained or injured. Even though they are small, sesamoid bones are vital in how our bodies work. If you have pain in your feet corresponding to the location of these bones, it is suggested that you schedule an appointment with a podiatrist for a proper diagnosis and treatment
Sesamoiditis is an unpleasant foot condition characterized by pain in the balls of the feet. If you think you’re struggling with sesamoiditis, contact David Mehl, DPM of New York. Our doctor will treat your condition thoroughly and effectively.
Sesamoiditis
Sesamoiditis is a condition of the foot that affects the ball of the foot. It is more common in younger people than it is in older people. It can also occur with people who have begun a new exercise program, since their bodies are adjusting to the new physical regimen. Pain may also be caused by the inflammation of tendons surrounding the bones. It is important to seek treatment in its early stages because if you ignore the pain, this condition can lead to more serious problems such as severe irritation and bone fractures.
Causes of Sesamoiditis
Treatment for sesamoiditis is non-invasive and simple. Doctors may recommend a strict rest period where the patient forgoes most physical activity. This will help give the patient time to heal their feet through limited activity. For serious cases, it is best to speak with your doctor to determine a treatment option that will help your specific needs.
If you have any questions, please feel free to contact our offices located in Forest Hills, and Brooklyn, NY . We offer the newest diagnostic and treatment technologies for all your foot care needs.

Exploring a different country on foot, whether in the tranquil early morning or during the enchanting twilight hours, offers a unique experience. However, this active exploration can come with challenges, particularly when navigating a city's cobblestone streets. Walking extensively can lead to foot pain, with common issues including plantar fasciitis and Achilles tendinopathy. These conditions are often caused by overuse, wearing inadequate footwear, or tight and weak muscles. Plantar fasciitis, for example, manifests as a sharp pain in the heel as a result of overburdening the feet. Achilles tendinopathy presents as pain in the lower leg and is often caused by tight calves and wearing unsupportive shoes. To prevent and treat these issues, it is suggested that prior to your trip, you make an appointment with a podiatrist to discuss options such as using custom-made orthotics and targeted stretching and strengthening exercises that may help you to avoid foot pain so you can enjoy your vacation
Foot Pain
Foot pain can be extremely painful and debilitating. If you have a foot pain, consult with David Mehl, DPM from New York. Our doctor will assess your condition and provide you with quality foot and ankle treatment.
Causes
Foot pain is a very broad condition that could be caused by one or more ailments. The most common include:
Diagnosis
To figure out the cause of foot pain, podiatrists utilize several different methods. This can range from simple visual inspections and sensation tests to X-rays and MRI scans. Prior medical history, family medical history, and any recent physical traumatic events will all be taken into consideration for a proper diagnosis.
Treatment
Treatment depends upon the cause of the foot pain. Whether it is resting, staying off the foot, or having surgery; podiatrists have a number of treatment options available for foot pain.
If you have any questions, please feel free to contact our offices located in Forest Hills, and Brooklyn, NY . We offer the newest diagnostic and treatment technologies for all your foot care needs.
Connect With Us